Iniciaste sesión como:
filler@godaddy.com
Iniciaste sesión como:
filler@godaddy.com


El Consona N6 ofrece soluciones nuevas y concretas que te ayudan a realizar diagnósticos fluidos y eficientes para una amplia variedad de pacientes.
Ya sea que tu práctica se desarrolle en hospitales, clínicas, o estés perfeccionando tus habilidades en aplicaciones de Imagenología General, salud de la mujer o especialidades cardiovasculares, encontrarás en esta serie herramientas altamente potentes

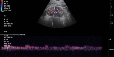
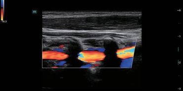
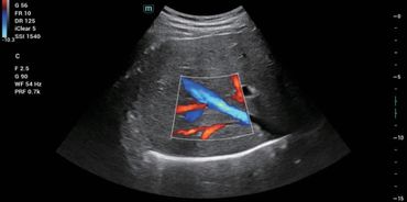
La plataforma ZST+ representa una innovación extraordinaria, marcando una evolución en el ultrasonido. Transforma los parámetros convencionales del ultrasonido al pasar de la formación tradicional de haces al procesamiento basado en datos de canal. Supera las limitaciones habituales entre resolución espacial, resolución temporal y uniformidad tisular, logrando una calidad de imagen excepcional que permite soluciones de imagen infinitas y en constante evolución.

Mejora la eficiencia del trabajo diario

Mayor claridad y precisión diagnóstica.

Incluye herramientas inteligentes

Orientado al usuario








Usamos cookies para analizar el tráfico del sitio web y optimizar tu experiencia en el sitio. Al aceptar nuestro uso de cookies, tus datos se agruparán con los datos de todos los demás usuarios.